Centro de Escáner y
Radiografía Dental

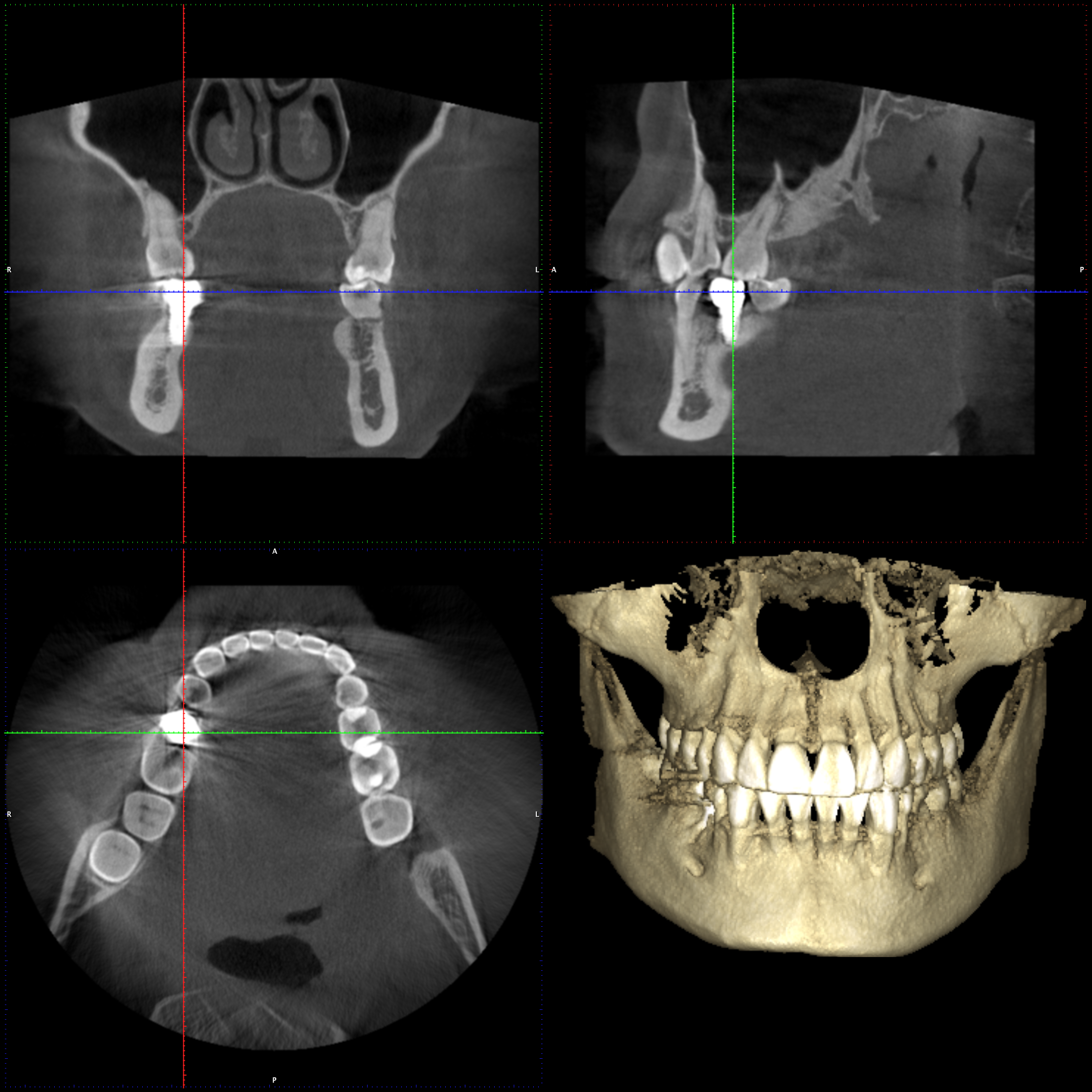
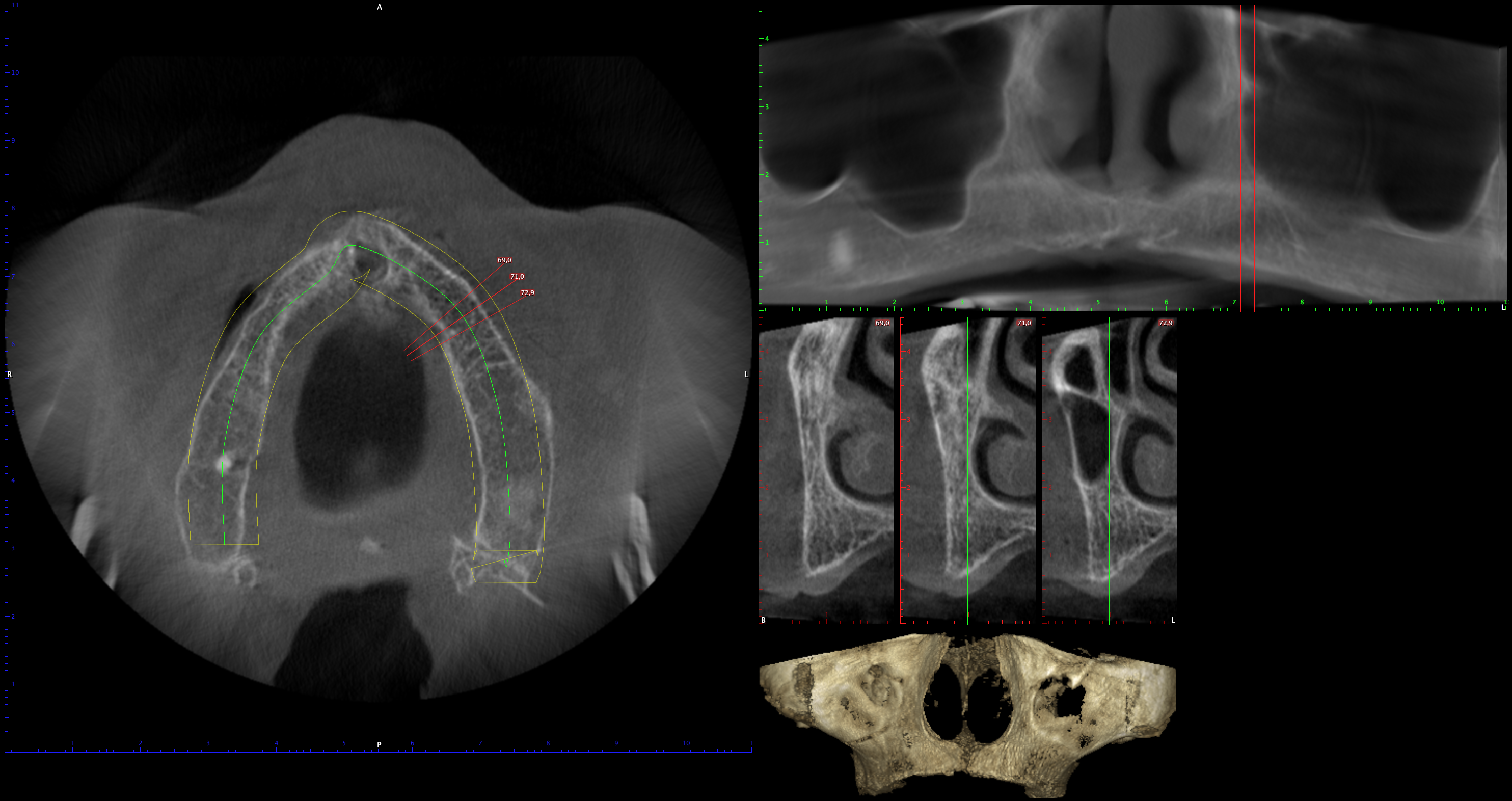
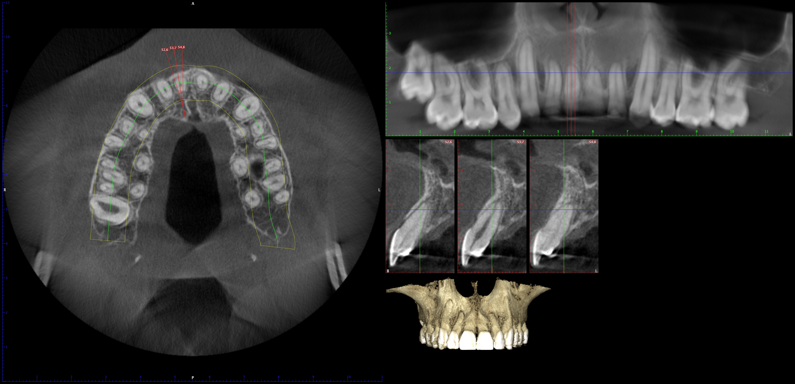
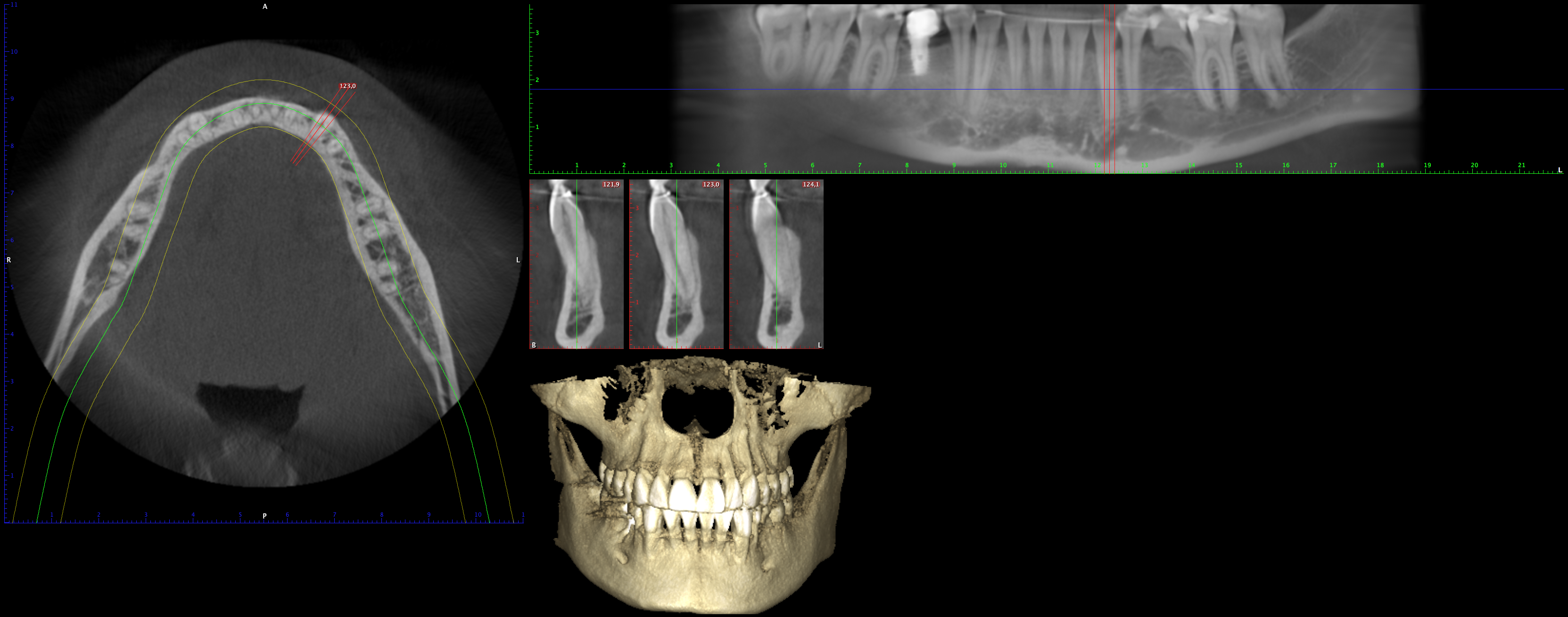
En PROTAC conseguimos una combinación ideal de calidad de imagen y usabilidad de alto nivel, ya que disponemos de una unidad CBCT(Cone Beam Computed Tomography) de última generación que supone un extraordinario avance en la evolución del procesamiento de imágenes de haz cónico, obteniendo una calidad de imagen optimizada, reduciendo los artefactos y garantizando imágenes de mayor contraste, para conseguir así satisfacer las necesidades del exigente procesamiento de imágenes maxilofaciales en todos los entornos clínicos. Nuestro innovador software Planmeca Romexis® ofrece herramientas especialmente diseñadas para especialistas en implantología, endodoncia, periodoncia, prostodoncia, ortodoncia, cirugía maxilofacial y otorrinolaringología.

Nuestra unidad de escáner y radiografía dental y nuestro software de procesamiento de imágenes brinda una combinación innovadora de imágenes 2D y 3D que le ofrecen una visión más completa para conocer con mayor exactitud las necesidades de sus pacientes.

El proceso es realmente seguro y sencillo. El estudio no suele durar más de 20 segundos, ya que todas las pruebas necesarias se las haremos en un mismo equipo, que proporciona imágenes de máxima calidad con la mínima dosis de radiación de los existentes en el mercado.

Disponemos de especialistas cualificados durante todo nuestro horario de atención al público para resolver cualquier consulta que pudiera surgirle. Le esperamos en Protac, su centro de confianza de escáner y radiografía dental, en Arroyo de la Miel.

Unidad CBCT de última generación con una calidad de imagen optimizada.

Software con herramientas especializadas para implantología, endodoncia, periodoncia, prostodoncia, ortodoncia, cirugía maxilofacial y otorrinolaringología.

Imágenes 2D y 3D más completas para conocer con mayor exactitud las necesidades de sus pacientes.

Proceso realmente seguro y sencillo para el paciente con una duración media de 20 segundos en un mismo equipo.

Nuestro equipo de escáner y radiografía dental es de última generación con la mínima dosis de radiación del mercado.

Disponemos de especialistas cualificados durante todo nuestro horario de antención al público para resolver cualquier consulta que pudiera surgirle.

Le esperamos en Protac, su centro de confianza de escáner y radiografía dental en Arroyo de la Miel.

Estaremos encantados de atenderle en el teléfono: 623-401-139, por Whatsapp 623-401-139 , o en nuestro centro en Calle Roberto Olid, 2, local 1 - Esquina Calle Zodiaco (junto a Caja Rural de Granada) - Arroyo de la Miel (Málaga).